お悩み別外来
ほくろ除去・レーザー治療

- ①当院のほくろ除去の特徴
- ②治療前後の症例 パート1
- ③ほくろの起源
- ④ほくろの診断
- ⑤ほくろ(以下、母斑)の分類NEW
- ⑥ほくろと悪性黒色腫(メラノーマ)との関係は? NEW
- ⑦ほくろに似た悪性黒色腫(メラノーマ)を疑うABCDEルール NEW
- ⑧ほくろを除去する方法
- ⑨炭酸ガスレーザーとダイオード・アレックスレーザーの違い
- ⑩施術前後の症例 パート2
- ⑪ダイオード・アレックスレーザーによるほくろ除去のリスクと副作用
- ⑫ほくろ除去(直後の反応)
- ⑬ほくろ除去の経過
- ⑭ほくろ除去後の注意点
- ⑮施術の流れ
- ⑯瘢痕のできやすい部位
- ⑰ほくろに似たできもの(良性と悪性)
- a)最近のケース
- b)診断クイズ
- ⑱施術前後の症例 パート3
- ⑲レーザーによるほくろ除去は保険適応か?
- ⑳クリニック選びのポイント
- ⑴料金 自費 保険 ★
- ⑵よくある質問
- ⑶部位別のほくろ除去
①当院のほくろ除去の特徴
東京都足立区の大山皮膚科では、ホクロのレーザー治療には特に力を入れています。
ほくろ除去のおすすめ治療法として、当院の特徴であるノーダウンタイム(ダウンタイムが少ない)、麻酔不要、そしてカバー不要(ノーカバー)のダイオードレーザー、アレックスレーザー治療を行っています。
カバーなし、すなわちテープ不要は、外見上or仕事上とても重要なポイントであると思われます。また麻酔不要なので注射針を好まないとか麻酔をしたくないといった方には最適です。
目のまわりや痛みに弱い方には麻酔を行います。時に手術で対応する場合があります。
麻酔不要!カバー不要!ノーダウンタイム(少ない)

☘️治療前後の写真が多数見られます。☘️
②ほくろ除去治療前後の症例 パート1


上まぶたにある台状に隆起したほくろです。
鑑別に基底細胞癌という悪性腫瘍も考慮しなければなりません。
きっちりダーモスコピーという特殊カメラで良性であることを確認して施術しました。
このダーモスコピーの検査は皮膚科専門医以外はできません。
美容系専門のクリニックでは診断能力に問題があリます。
上まぶたは皮膚が一番薄いゆえに、へこみやすく跡になりやすすいので気を使います。
熱を加え過ぎないように、慎重に4回で終了しました。
ほぼ完璧な仕上がりです。
当院では小さいものから大きいものまで、幅広く対応しています。
目の近くのほくろ除去は東京 大山皮膚科にお任せください‼️
施術の内容:ダイオードレーザーによる熱によってほくろを変性・壊死させる。
リスク:浮腫、発赤、くぼみ、色素脱出、肥厚性瘢痕等
料金:38,500円


目の上のシミのようなホクロです。
きっちりダーモスコピーでシミではなく、ホクロであることを確認してからトライしました。
基本的には中央付近にメラニンの集積が認められます。
へこみが出ないように弱めに照射しました。
完璧な仕上がりでした。
目の上のほくろ除去は当院にご相談ください。
施術の内容:ダイオードレーザーによる熱によってほくろを変性・壊死させる。
リスク:浮腫、発赤、くぼみ、色素脱出、肥厚性瘢痕等
料金:45,000円×税


施術の内容:ダイオードレーザーによる熱によってほくろを変性・壊死させる。
リスク:浮腫、発赤、くぼみ等
料金:50,000円×税(2個で)


施術の内容:ダイオードレーザーによる熱によってほくろを変性・壊死させる。
リスク:浮腫、発赤、くぼみ等
料金:50,000円×税(2個で)


施術の内容:ダイオードレーザーによる熱によってほくろを変性・壊死させる。
リスク:浮腫、発赤、くぼみ等
料金:120,000円×税(写真にあるホクロ全部)
コメント:一部残っているものには再照射しました。その後来院せず。


施術の内容:ダイオードレーザーによる熱によってほくろを変性・壊死させる。
リスク:浮腫、発赤、くぼみ、白色瘢痕等
料金:45,000円×税
コメント:隆起のあるほくろ除去も得意です。この方は1回施術後、1年後にひょっこり来院されました。


施術の内容:ダイオードレーザーによる熱によってほくろを変性・壊死させる。
リスク:浮腫、発赤、くぼみ、白色瘢痕等
料金:45,000円×税
コメント:よく見かける球状のホクロ。隆起しているものも除去できます。


施術の内容:ダイオードレーザーによる熱によってほくろを変性・壊死させる。
リスク:浮腫、発赤、くぼみ、白色瘢痕等
料金:25,000円×税
コメント:目の下も皮膚が薄いので注意が必要です。


施術の内容:ダイオードレーザーによりほくろを変性・壊死させる。
リスク:浮腫、発赤、凹み等
料金:35,000円×税
コメント:このような顎にある大きく真っ黒なほくろは、母斑細胞が深く入っているので凹みやすく意外と難しいのです。


施術の内容:ダイオードレーザーによりほくろを変性・壊死させる。
リスク:浮腫、発赤、凹み等
料金:45,000円×税
コメント:この部位は施術しないドクターが多いと思いますが、積極的に施術してかなりうまく行ったケースだと思います。動きの激しい唇は瘢痕になりやすいのです。治療経過はこちらです。


施術の内容:ダイオードレーザーによりほくろを変性・壊死させる。
リスク:浮腫、発赤、くぼみ、色素脱出、肥厚性瘢痕等
料金:50,000円×税
コメント:唇の上のゾーンは、手術やどんなレーザーを使用しても瘢痕になりやすい部位です。


施術の内容:アレックスレーザーによりほくろを変性・壊死させる。
リスク:浮腫、発赤、くぼみ、色素脱出、肥厚性瘢痕等
料金:45,000円×税(2個で)
コメント:鼻と口唇の間にあるほくろ除去は瘢痕(跡)になりやすい部位で注意が必要です。どんなレーザーでも、手術でも跡になる可能性がます。
今回はアレックスレーザーで除去できました。


大きいほくろ除去 new
施術の内容:ダイオードレーザーによりほくろを変性・壊死させる。
リスク:浮腫、発赤、くぼみ、色素脱出、肥厚性瘢痕等
コメント:切るしかない!だが唇の形が変わってしまうと他院で言われ、大変悩まれていた方です。
口元から口唇にかかっているほくろは、特に跡になりやすく慎重なレーザー施術が望まれます。
料金:78,000円
③ほくろの起源
ほくろの細胞の由来について要点をまとめました。
- ほくろの正体は、メラニン色素を作る細胞である「メラノサイト(色素細胞)」が異常に増殖したものです。
- このメラノサイトの集合体を「母斑細胞(ぼはんさいぼう)」と呼び、ほくろは医学的には「色素性母斑(しきそせいぼはん)」と分類されます。
- 母斑細胞の元となる細胞は、胎児の成長過程で形成される「神経堤(しんけいてい)」という組織に由来します。
- この神経由来の細胞が皮膚に移動して増殖し、ほくろとして現れます。
つまり、ほくろはメラノサイトが異常に増えることでできる良性の腫瘍で、
その細胞の起源は胎児のときの「神経堤」という組織にある、ということになります。
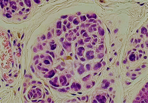
ほくろの細胞は、通常のメラノサイトと異なり、枝突起がなく、より大型で粗い顆粒(粗大なメラノソーム)を持つ形態的に特徴ある細胞で、真皮~表皮接合部に集まりクラスター(群れ)を形成することでほくろが生じます。
母斑細胞はクラスターつまり集団を作ることによってほくろを生じるのです。
オレンジ色でその集団を囲み、見易くしてみました。
クラスター(集団)の一つを拡大してみました。
たくさんの細胞が集まっていて、中心部にメラニンも見られます。
④ほくろの診断
皮膚の聴診器ともいうべきダーモスコピー(特殊な拡大鏡)で診断します。

無反射条件下で拡大して皮膚や表皮下を観察します。裸眼では診断の難しい病変でも、かなりの精度で診断できるようになりました。
☘️ほくろの診断の際、ダーモスコピーを使用しないドクターはプロではありません。
⑤ほくろ(以下、母斑)の分類NEW
母斑はさまざまな基準で分類されている。
● 発症時期による分類:
先天性、後天性
● 大きさを基準にする分類:
小型,中型,大型
● 母斑細胞の組織学的な位置による分類:
表皮内のみの境界型,真皮内型 そしてその両者の複合型の3型。
母斑細胞の組織学的な存在位置で分けるこの分類が以前はもっとも一般的な分け方であった。
● Ackerman分類
Ackermanは臨床的、病理組織学的に後天性色素性母斑を4型に分けている。
この分類が現在グローバルに通用している分類である。
①Miescher 母斑:
- ● 顔面、頭部に好発する病型で、ドーム状ないし半球状に隆起し、複数の毛が通っていることが多い。
- ● 色は黒から褐色、灰白色までさまざまである。
- ● 小児期には平坦で、青年期に次第に隆起し、成人期に半球状となって完成する。その後加齢によりメラニン色素の減少が起こり、全体に色素脱出を生じる。
- ● 病理所見は真皮型あるいは複合型で、全体としては楔型のパターンをとる。
②Unna 母斑:
- ● 上肢や頚部にみられる病型である。
- ● 色は淡褐色から常色のことが多く、有茎性でふにゃっと柔らかく隆起し、表面は顆粒状ないし平滑である。
- ● 病理所見は複合型のことが多い。鑑別として良性の軟性線維腫や神経線維腫が挙げられる。
③Spitz 母斑
- ● 若年者の顔面に好発する紅色の結節というのが、皮膚科医の一般概念である。
- ● しかし色は褐色や黒色までケースによって様々で、見た目も平坦から乳頭腫状まで多彩である。発症年齢も20歳以上の成人例が半数を占めている。
- ● また四肢発生例が約半数あり、一般概念とはかなり異なる。
- ● 病理所見として細胞の異型性が目立ち、真皮の結合織の間隙をぬって増殖するので悪性黒色腫(メラノーマ)と誤診されやすいので、注意が必要である。
④Clark 母斑
- ● dysplastic nevusという名称で、Clark が悪性黒色腫の前駆症(前段階)として提唱した病型であり、躯幹,四肢近位部に好発する。
- ● その後、悪性化は否定され、紫外線刺激による後天性の母斑に位置づけられた。
- ● 色は基本的に平坦な褐色斑で、中央はやや色が濃くて軽度に隆起し辺縁は色が薄くて平坦なことが多い。
- ● 病理所見は水平方向に拡がる境界型が主であるが、中心に複合型を含むこともある。表在拡大型悪性黒色腫(メラノーマ)との鑑別がしばしば問題になる。
⚠️ 皮膚科医でもSpitz 母斑とClark 母斑の知識がないと、悪性黒色腫(メラノーマ)と誤診してしまうので要注意である⚠️
🍒これらの診断にはダーモスコピーという特殊拡大鏡が必要である。
⑥ほくろと悪性黒色腫(メラノーマ)との関係は?NEW
- ▫️悪性黒色腫(メラノーマ)は色素細胞ががん化したもので、とても悪性度が高く、あらゆるガンの中でも最も悪性と言われています。
- ▫️ほくろが悪性黒色腫(メラノーマ)になる危険性があると一般的にいわれますが、実はメラノーマの多くはほくろとは関係がないのです。
- ▫️先天性の大きいほくろ(母斑)から悪性黒色腫(メラノーマ)が生じることはありますが、通常の小さいほくろがメラノーマになる危険性はまずないので、ご安心ください。
- ▫️ただし、小さくてもほくろと似ている悪性黒色腫(メラノーマ)があるので注意が必要です。
⑦ほくろに似た悪性黒色腫(メラノーマ)を疑うABCDEルールNEW
これはアメリカで良く使用されるガンの中でも最も悪性の悪性黒色腫(メラノーマ)を早期発見するための一つの基準です。

これが悪性黒色腫(メラノーマ)です。(A図)
一見して普通のシミやホクロとは違う印象を持たれると思います。

その拡大像、ダーモスコピー所見です。赤くカサブタのように膨らんでいる部分が認められ、色調も濃淡様々です。
A図を使ってABCDEルールを説明します。
A=非対称(ASYMMETRY)
悪性黒色腫(メラノーマ)は非対称であることが多く、片方の半分の形状がもう片方の半分と一致しません。
A図で0時から6時に線を引くと、右側の赤いカサブタのようなものが飛び出していたり、色味が薄くなっている部分があり左右が対照ではありません。

因みに対称とはこういうホクロです。左右にも上下にも対称です。
B=境界(BORDER)
悪性黒色腫(メラノーマ)は、多くの場合、不均一または不規則な境界(ギザギザまたは切れ込みのある緑)を呈しています。A図では 6時から9時にかけてギザギザがはっきりしています。

通常のほくろですが、境界ははっきりしていてギザギザや切れ込みがありません。
C=色調(COLOR)
悪性黒色腫(メラノーマ)は、多くの場合、茶色や黒色等の複数の色を含みますが、白、灰色、青、赤などが混ざることもあります。一部の黒色腫では、既存の色素の消失が見られます。
自然消退構造と呼ばれ、悪性黒色腫の自然消退を反映しています。
このA図でも、薄茶色から黒色まで様々な色調が見られます。そして3時付近では、色が薄くなっています。

通常のホクロですが、色調は均一です。
D=直径(DIAMETER)
悪性黒色腫(メラノーマ)は直径6mmを超えることが多いのですが、早期発見への意識が高まった結果、約30%のメラノーマは直径6mm未満で発見されるようになりました。
日本のある研究者は、7mmを要注意のサイズと考えています。
ただしEの短期間で増殖した場合が要注意です。
E=隆起(EVOLVING)
変化:悪性黒色腫(メラノーマ)は診断前の数か月間に何らかの変化があります。
⚠️これが重要で、1年未満で変化がある場合が多いので、上記のABCDがあって、短期間に増殖した場合には、すぐに皮膚科専門医を受診してください。

もう一例ABCDEが揃っている悪性黒色腫(メラノーマ)をお見せします。
A=非対称(ASYMMETRY)
3時から9時に線を引くと、上下のバランスが全く違うのが理解できると思います。
B=境界(BORDER)
9時から11時にかけてギザギザになっています。
C=色調(COLOR)
多彩です。上2/3は黒色、下1/3は褐色、淡褐色そして少し色が抜けている部分もあります。
また11時〜12時にかけて辺縁が黒褐色になっています。
D=直径(DIAMETER)
直径約3cmあります。かなり時間が経過したケースです。
E=隆起(EVOLVING)
中央から上部にかけて一段と盛り上がった部分がはっきり認められます。
結節型の悪性黒色腫(メラノーマ)で、最も悪性度が高いタイプです。
🌸これらの診断にはダーモスコピーという特殊拡大鏡による診断が不可欠です。この検査、診断できるのは皮膚科専門医しかありません。🌸
⑧ほくろを除去する方法
- ①炭酸ガスレーザー ②電気メス ③サージトロン
これらは基本的にほくろを削っていく方法です。 - ④くり抜き法
使用できる部位が限定的で、跡になりやすいです。 - ⑤手術
多数のほくろ除去や口元、鼻、目周り等の除去には不向きです。 - ⑥ダイオード・アレックスレーザー
一瞬にしてほくろを縮小可能で、①から③の削る治療とは一線を画すレーザー治療です。
⑨炭酸ガスレーザーとダイオード・アレックスレーザーの違い


この動画でわかるように炭酸ガスは少しずつ掘っていくイメージです。一方ダイオード・アレックスは一瞬でホクロを収縮させるパワーがあり、炭酸ガスではこの作用はありません。これが決定的な違いです。この違いはレーザーの波長によります。炭酸ガスの10600nmは皮膚の中の水分に、ダイオードの755nmはメラニンに反応して熱に変わるためです。ですから、炭酸ガスは隆起して深いほくろや口元、目周り等は苦手です。全部取ってしまうと深い凹みになってしまうため、半分くらいしか取らず、残りはまた出てきたら除去するというクリニックもあります。もちろん魔法ではないのでダイオードでも凹みが生じますし、回数がかかる場合があります。カバー不要、麻酔不要、そしてノーダウンタイム(少ない)のダイオード、アレックスレーザーによるほくろ除去は、大きさに関わらず炭酸ガスレーザーとは異次元の施術と思われます。
⑩施術前後の症例 パート2


施術の内容:ダイオードレーザーによる熱によってほくろを変性・壊死させる。
リスク:浮腫、発赤、くぼみ等
料金:30,000円×税
コメント:一瞬にしてカサブタになっています。赤みはすぐにひきます。


施術の内容:ダイオードレーザーによる熱によってほくろを変性・壊死させる。
リスク:浮腫、発赤、くぼみ等
料金:30,000円×税
コメント:膨らみのあるホクロも瞬時に平坦化しています。


施術の内容:ダイオードレーザーによる熱によってほくろを変性・壊死させる。
リスク:浮腫、発赤、くぼみ等
料金:30,000円×税
コメント:色のないほくろ取りもおまかせください。


施術の内容:ダイオードレーザーによる熱によってほくろを変性・壊死させる。
リスク:浮腫、発赤、くぼみ等
料金:45,000円×税
コメント:他院で手術でしか取れないと言われた大きいほくろ取りも行っています。


施術の内容:ダイオードレーザーによる熱によってほくろを変性・壊死させる。
リスク:浮腫、発赤、くぼみ等
料金:20,000円×税
コメント::目周りは凹みやすいです。


施術の内容:ダイオードレーザーによる熱によってほくろを変性・壊死させる。
リスク:浮腫、発赤、くぼみ等
料金:30,000円×税
コメント:眉毛の中のホクロ取りは、その部位が脱毛する可能性があります。


施術の内容:ダイオードレーザーによる熱によってほくろを変性・壊死させる。
リスク:浮腫、発赤、くぼみ等
料金:35,000円×税
コメント:鼻のホクロ取りも多数経験しています。


施術の内容:ダイオードレーザーによる熱によってほくろを変性・壊死させる。
リスク:浮腫、発赤、くぼみ等
料金:130,000円×税(8個で)
コメント:鼻のほくろ除去も、平坦なものから膨らんだものまで対応しています。


施術の内容:ダイオードレーザーによる熱によってほくろを変性・壊死させる。
リスク:浮腫、発赤、くぼみ等
料金:30,000円×税
コメント:うなじのほくろ除去も行なっています。
⑪ダイオード・アレックスレーザーによるほくろ除去のリスクと副作用
「必ずお読みください」
①どのレーザーを使用しても、ほくろ除去はレーザーの光が熱に変わり、その熱が周囲に波及しほくろを焼くという行為です。つまり「いいヤケド」をさせる施術なのです。
ダイオードレーザーの場合、メラニンに光が吸収されて熱に変わります。一般的なCO2レーザー(炭酸ガスレーザー)は皮膚の中の水分に吸収されて熱に変化するのです。吸収する物質によって違いが出てきます。
②「いいヤケド」をする施術なので、焼け跡つまり傷跡には多かれ少なかれなります。
③完全に正常な皮膚に戻るわけではなく、仕上がりには個人差があります。
④熱で焼く行為なので「赤み」は必ずでます。短期間に消える方と、数年残る方もいます。これは照射前には予測できません。
色白の方は赤みが出やすく、消えていくのに時間がかかるようです。また施術後の炎症(赤み)は、元のホクロより大きくなる場合があります。
⑤盛り上がったホクロは、ちょうど野球のボールが砂浜に半分埋まった状態に似ています。つまり皮膚の下にも盛り上がった部分と同じくらいほくろの細胞が増殖しているのです。ですから完全にとればへこむわけです。
しかし、体の中で顔が一番血流が豊富であること即ち創傷治癒力(傷を治す力)が強いので、経時変化でへこみがなくなる場合が多いのです。
もちろんホクロの大きさや性状そして創傷治癒力には個人差があるので「へこみ」が残ることがあります。「へこみ」はどんなレーザーを使用しても、どんなドクターが施術しても可能性があります。「へこみ」はまず治せません。
⑥傷跡が白くなり(鼻下や唇は要注意です)盛り上がる事があります。その場合、除去は困難です。
白色瘢痕、肥厚性瘢痕といって、ホクロ除去に限らずキズの最終的な状態です。これもどんなレーザーを使用しても、どんなドクターが施術しても可能性があります。
⑦水ぶくれや侵出液が出る(じゅくじゅくする)場合が時にありますが、出血は生じません。色素沈着が稀に起こることがあります。
⑧レーザー照射をピンポイントで行っていますが、ホクロより大きく熱が拡散するケースがあります。その場合ほくろの大きさよりも大きく焼けます。
⑨1回でとり切れない場合があります。大きいものや、中心部のみ黒く周囲は色がとれたようなホクロでは数回の施術が必用なケースがあります。その場合でも2回目以降は再診料のみで、レーザー料金の追加はありません。(ただし1年間有効)
⑩20歳未満の方は必ず保護者の許可を得てください。
⑪ノーダウンタイム、カバーの必要がない施術です。
⑫ほくろ除去(直後の反応)
1)一瞬で縮小(麻酔なし)
![]() |
||
| [+拡大] | ||
施術の内容:ダイオードレーザーによる熱によってほくろを変性・壊死させる。
リスク:浮腫、発赤、くぼみ等
料金:20,000円×税
胸のホクロですが、瞬時に縮小しカサブタになります。秒単位のレベル!
これがダイオードレーザーの一番の特徴です。
カサブタになればカバーは必要ありません。それ自体がカバーの役割を果たしているのです。
ほくろ周囲の赤みは必ず出現しますが、その日のうちに消退します。
2)一瞬で縮小、灰白色化(麻酔なし)
![]() |
||
| [+拡大] | ||
施術の内容:ダイオードレーザーによる熱によってほくろを変性・壊死させる。
リスク:浮腫、発赤、くぼみ等
料金:20,000円×税
顔のほくろですが秒単位で縮小し、お線香の燃えカスのように灰色になります。
周囲の赤みは必ず出現しますが、その日のうちに消えます。
灰色は組織が死んだことを示しています。
死んだ組織は自然に生体からはがれていきます。
期間は大きさ、隆起の具合、色調そして個人差がありますが1、2週間前後です。
1回で除去できない場合は1、2か月後に施術します。(当院では1年間はレーザー治療の追加料金はありません。再診料のみです)
死んだ組織にカバーをすると細菌の絶好の繁殖場となるのでカバーは必要ありません。
3)茶色から黒色・カサブタ化(麻酔なし)
![]() |
||
| [+拡大] | ||
施術の内容:ダイオードレーザーによる熱によってほくろを変性・壊死させる。
リスク:浮腫、発赤、くぼみ等
料金:20,000円×税
アゴの茶色のほくろですが、瞬時に黒色・カサブタになっています。
ほくろ周囲の赤みは必発ですが問題ありません。
麻酔の必要がないのは患者、医師双方に好都合だと思います。
洗顔も通常通り行えます。
4)色のないホクロ
全体が灰白色になり、はがれていきます。
5)ダイオードレーザーの熱作用
<施術前と直後のダーモスコピー(拡大鏡)所見>
![]() |
||
| [+拡大] | ||
施術の内容:ダイオードレーザーによる熱によってほくろを変性・壊死させる。
リスク:浮腫、発赤、くぼみ等
料金:10,000円×税
瞬時に縮小していますが、ほくろが小さいので写真ではわかりにくいかもしれません。
これをダーモスコピーで見てみましょう。
![]() |
||
| [+拡大] | ||
施術の内容:ダイオードレーザーによる熱によってほくろを変性・壊死させる。
リスク:浮腫、発赤、くぼみ等
料金:10,000円×税
施術前、ホクロの中心部(濃い部分)から毛が生えているのが確認できます。
直後では中心部が熱作用で焼けて、楕円形のカタマリになり、毛もなくなりました。
強力な熱作用が理解できたと思われます。
まるで小宇宙を見ているようですね。
⑬ほくろ除去の経過
- ① 手のほくろの経過
-




ホクロ治療前
治療直後 1週間後
3週間後 照射直後に小さく、灰色になります。 料金10,800円 こんなにキレイになりました。 [+拡大] 施術の内容:ダイオードレーザーによる熱によってほくろを変性・壊死させる。
リスク:浮腫、発赤、くぼみ等
料金:10,000円×税 - ② 胸にある大きなほくろの経過
-
① 施術前の写真:胸に中心部が濃い茶色、周辺では赤茶色の大きなほくろが見られます。
施術の内容:ダイオードレーザーによる熱によってほくろを変性・壊死させる。
リスク:浮腫、発赤、くぼみ等
料金:30,000円×税② 施術直後の写真:ダイオードレーザー照射直後、一気に縮んで黒色のかさぶたになっています。この瞬間で縮小するのが他のレーザーにない特徴で、仕上がりを左右します。周囲には炎症の波及による紅斑が認められますが、その日のうちに消えます。
③ 10日後の写真:直後からの黒いかさぶたのままです。
④ 17日後の写真:かさぶたが突然一気にとれて、良好な状態になってきています。
⑤ 24日後の写真;かさぶたが更にとれ、中央の白色部分の周囲に軽度のメラニン沈着があります。
⑥ 31日後の写真;時間の経過とともにメラニンはさらに薄くなっています。あとは時間の問題です。
ダイオードレーザーの特徴であるカバーの必要がない治療すなわちノーダウンタイムである根拠が理解できたのではないか思います。
⑭ほくろ除去後の注意点
注意点①内服・敷膏を使用する期間を守る
炎症止めの飲み薬:
水泡になった場合や、炎症を早く治すためにステロイドを処方します。3日間の内服をお願いします。
- 患者さまの飲み合わせによりステロイド内服が出ない方もいます。
炎症止めの軟膏:
ステロイドの軟膏を処方します。スキンケアの後に、朝と晩に軟膏を5日間塗ってください。必ず軟膏は5日で使用を止めてください。
- ステロイド薬を5日以上塗ってしまうと赤みが出てしまう為です。
- テープ保護もしないでください。
注意点②施術箇所を擦ったり刺激しない
施術後は、洗顔やお風呂に入って頂いて構いませんが、ゴシゴシ洗わないように注意してください。擦ったり刺激を与えないよう注意してください。
特に、レーザーでホクロ除去したあとは、熱ダメージによって一時的に炎症を起こす可能性があります。肌のバリア機能が低下し、敏感になっているため、施術箇所を必要以上に触ったり、刺激を与えたりすることはしないでください。
- メイクは施術の次の日からOK
注意点③かさぶたを無理に剥がさない
ホクロを除去した箇所にかさぶたができたら、むやみに剥がさず、自然に剥がれるのを待ってください。
かさぶたを無理やり剥がしてしまうと、出血や赤み、陥没などの症状が出ることがあるからです。
かさぶたの役割は、乾燥や外部の細菌から肌を守ることです。
なお、レーザーの出力や皮膚の状態によってかさぶたが形成されない場合もありますが、特に問題はありません。
- ホクロ除去後に違うレーザーを施術する場合は、少なくとも2週間は空けるようにしてください。
- 当院のホクロのレーザーは1ヶ月経過したら、2回目のレーザーが照射できます。1ヶ月後に来院してください。
⑮施術の流れ
- STEP1
-
カウンセリングを行います。ダイオードレーザーによるほくろ除去のリスクと副作用を必ず読んでおいてください。
- STEP2
-

拡大顕微鏡であるダーモスコピーを使用してホクロが悪性か良性か確認します。
- STEP3
-
施術前の写真撮影をします。
これは自費診療をしているクリニックではマストです。
結構、施術前の状態を忘れてしまう方がいます。 - STEP4
-
局所麻酔をせずに、レーザー治療を行います。
ここが通常の炭酸ガスレーザーとの違いです。
(痛みに敏感な方or唇や眼周囲などの痛みに敏感な部位は麻酔をします。)

[+拡大] 施術の内容:ダイオードレーザーによる熱によってほくろを変性・壊死させる。
リスク:浮腫、発赤、くぼみ等
料金:20,000円×税 - STEP5
-

レーザー施術。
瞬即、秒単位の治療です。
施術時間が速いこともダイオードレーザーの特徴です。 - STEP6
-
軟膏を付けることはありますが、ガーゼや絆創膏で傷を保護することはありません。
ノーダウンタイム‼これがダイオードレーザーによるほくろ除去の長所です。
誰だって1,2週間カバーしたくないと思います。 - STEP7
-
ノーダウンタイムなのでナースが術後の手当の方法を詳しく説明する必要がありません。
- STEP8
-
約一週間後or1、2か月後に来院していただきます。


[+拡大] 施術の内容:ダイオードレーザーによる熱によってほくろを変性・壊死させる。
リスク:浮腫、発赤、くぼみ等
料金:25,000円×税 - STEP9
-
完全に除去できていない場合にはレーザー治療を行います。(1年間有効)
1年以内でとれないホクロは通常ありません。
⑯瘢痕のできやすい部位
- a)口唇周囲、口元、鼻下: 肥厚性瘢痕になりやすい部位です。
- b)首、うなじ : 白色瘢痕になる場合があります。
- c)鼻尖、小鼻: 凹みやすい。
- d)頭: 浅目に照射して脱毛を防ぎます。
- e)からだ: 顔に比べ瘢痕になりやすいです。
⑰ほくろに似たできもの(良性と悪性)
a)最近のケース
脂漏性角化症

一見した所、ほくろにしか見えません。

ダーモスコピー所見ですが、毛穴もしっかり開いており悪性とは思えません。
ただ、黒褐色の色素斑が広がっているように見えます。
切除しました。
病理の結果、脂漏性角化症のアカントーティックタイプでした。
このタイプはよくほくろと間違えるのです。
アポクリン汗嚢腫

大小の山があり、淡褐色の色味があるものの全体的に色味が少ない感じです。

ダーモスコピーで見てみると、大きい方は淡く4つの部屋に分かれているようです。
どうもほくろと違う所見です。切除しました。
アポクリン汗嚢腫

組織学的に、真皮浅層から皮下組織内に大小の裏胞形成が数個見られます。裏胞壁は2相性を呈し、好酸性の扁平・立方上皮よりなり、アポクリンスナウトが散見されます。
胞壁の一部において、乳頭状の上皮の増生が見られます。真皮層に至る部位では2ヶ所に大小の隆起を形成しています。
アポクリン汗腫の所見に相当します。
全体として一連の病変と考えられます。

中央に真っ黒で大きなカサブタがあり、その周囲に淡いピンク色の隆起があります。
これは普通のほくろとは違います。

ダーモスコピー所見ですが、大きな黒い塊の周囲にメラニンの小さな塊が多数認められます。
手術の結果、基底細胞癌でした。

一見、普通のほくろのように見えます。
ダーモスコピーで必ず確認しています。

ダーモスコピーで観察すると、メラニンの塊が上の部分に多数観察され、背景が夕焼け色に感じられます。
病理の結果、基底細胞癌でした。
b)診断クイズ
☆臨床所見 図1

まずは典型的な例として、顔面の色素性病変をいくつか比べてみましょう。図1のAからDまでの比較的小型のほくろに似た病変はどう診断するのでしょうか?Aから Cはホクロのようにみえる小結節であり、Dは比較的小さなしみですが、ホクロのようにも見えます。患者に「趣味はサーフィン」といわれると、このくらいのしみがあっても不思議ではありません。
☆図1のダーモスコピー所見(特殊拡大鏡所見) 図2

(図1Aのダーモスコピー所見は図2Aに対応)
トレーニングされた皮膚科専門医のためのダーモスコピーでこれらの病変を観察すと、
おわかりでしょうか?一見、4例とも肉眼ではホクロに思えるのですが、ダーモスコピーで見ると別の所見が発見されるのです。
つまりレーザーによるほくろ除去には、美容プラス皮膚科専門医の知識とスキルが必要なのです。 皮膚科専門医ではない美容皮膚科医や美容外科医では正しい診断は できない事をご理解ください。
(東京女子医大東医療センター皮膚科教授 田中勝先生のご協力に感謝いたします。)
⑱施術前後の症例 パート3
■港区の32歳の女性。
右目の下マブタに薄茶色のほくろがあります。この部位は神経を使います。皮膚が薄くて柔らかいので、へこみ易く。少しシワになりやすいのです。結果、皮膚のヨレもなく良い仕上がりになりました。
施術の内容:ダイオードレーザーによる熱によってほくろを変性・壊死させる。
リスク:浮腫、発赤、くぼみ等
料金:20,000円×税
![]() |
![]() |
|
| [+拡大] | ||
■中央区の31歳の女性。
左目尻の大きなほくろ。表面に毛が多数生えています。この部位でこの大きさのホクロを炭酸ガスレーザーで施術するドクターはまずいないと思います。難しかったのですがチャレンジしました。軽い色素沈着と皮膚のヨレがありますが、概ね良好な状態です。
施術の内容:ダイオードレーザーによる熱によってほくろを変性・壊死させる。
リスク:浮腫、発赤、くぼみ等
料金:50,000円×税
![]() |
![]() |
|
| [+拡大] | ||
■文京区の38歳の女性。
ほうれい線にある大きなほくろ。よく問い合わせがありますが、大きいホクロもかなりの数を経験しています。少しへこみ、軽く白色瘢痕していますが良い状態だと思います。周囲をレーザーで平坦化すればもっと良くなります。(その後来院せず)
施術の内容:ダイオードレーザーによる熱によってほくろを変性・壊死させる。
リスク:浮腫、発赤、くぼみ等
料金:50,000円×税
![]() |
![]() |
|
| [+拡大] | ||
■江戸川区の27歳の女性。
上口唇に接する茶褐色のホクロが2個認められます。ここは白色瘢痕や肥厚性瘢痕になりやすい部位で、注意して照射しても、そのような反応が出てしまう事があります。本人の肌質の問題です。
施術の内容:ダイオードレーザーによる熱によってほくろを変性・壊死させる。
リスク:浮腫、発赤、くぼみ等
料金:37,800円×税
![]() |
![]() |
|
| [+拡大] | ||
■草加市の29歳の女性。
ほぼ鼻筋にある中心が赤茶で周囲が半透明の丸いホクロです。
10年以上前より認められ、年齢と共に育ってきてとっても気になるホクロでした。
ダウンタイムのないダイオードレーザーを希望していたためトライしました。
間隔をおいて2回施術。
施術の内容:ダイオードレーザーによる熱によってほくろを変性・壊死させる。
リスク:浮腫、発赤、くぼみ等
料金:25,000円×税
![]() |
![]() |
|
| [+拡大] | ||
■東京都台東区にお住まいの49歳の女性。
目の下のホクロが12年前には平らであったものが、年々大きく盛りあがってきてどうにもジャマでとってもらいたいと来院しました。
手術はイヤでレーザー治療がご希望でした。
施術の内容:ダイオードレーザーによる熱によってほくろを変性・壊死させる。
リスク:浮腫、発赤、くぼみ等
料金:30,000円×税
![]() |
![]() |
|
| [+拡大] | ||
6ヶ月後の状態ですが若干赤みが残っていますが、ほぼ消退しています。
あるのとないのでは印象も全然違いますよね。
こういう盛り上がったホクロよく見かけますが、除去するのが結構難しくテクニックが必要です!!
というのは皮膚表面から盛り上がった分と同じだけ下にもほくろがあるのです。
つまり完全にほくろ除去するのであれば理論上凹んでしまう訳です。
でも皮膚の再生能力ってすばらしく自然に盛り上がって来ることが多いのです。
■松戸市の37歳の女性
左ホホにある黒色調のほくろを4個除去してほしいと来院。
こういう黒色調のホクロのレーザー治療が結構むずかしいのです。
1回では取り切れないケースが多いのです。
今回も2回の施術で、一部薄く残っていますが、本人もこれ以上必要ないということで終了となりました。
施術の内容:ダイオードレーザーによる熱によってほくろを変性・壊死させる。
リスク:浮腫、発赤、くぼみ等
料金:30,000円×税
![]() |
![]() |
|
| [+拡大] | ||
■葛飾区の30歳の女性
これはかなり難易度が高いほくろ除去でした。
なぜかと言うと一見して中央部分が濃く、周囲が薄くなっています。
つまり濃い部分はホクロの細胞が深く入っているのでレーザー光をしっかり照射しなければなりません。
しかし周囲は色が薄いので浅めに照射する必要があります。
しかも部位的に皮膚が薄いところなのでレーザーの熱が入りすぎると瘢痕になってしまう可能性があるのです。
微妙なテクニックが必要です。
結果は若干白くなっていますが(5か月後)この程度はしょうがないでしょう。
施術の内容:ダイオードレーザーによる熱によってほくろを変性・壊死させる。
リスク:浮腫、発赤、くぼみ等
料金:30,000円×税
![]() |
![]() |
|
| [+拡大] | ||
■葛飾区の45歳、男性
右小鼻ワキの丸々と良く育ったほくろ除去を希望して来院。
このようなホクロはよく見かけますが、このクラスの大きさに
なるとレーザー治療か手術か選択に迷います。
黒く均一な色調でドーム型なのでレーザーの熱が均等に入りやすいと
考えダイオードレーザーで施術しました。
施術の内容:ダイオードレーザーによる熱によってほくろを変性・壊死させる。
リスク:浮腫、発赤、くぼみ等
料金:40,000円×税
![]() |
![]() |
|
| [+拡大] | ||
■東京都墨田区の32歳の女性
右耳の前にダンゴ3兄弟ならぬホクロが3個、タテにキレイに配列しています。
ちょうどピアスと調和して見た目にもグッドと思われるますが、本人の希望により
ダイオードレーザーによるほくろ除去を行いました。
施術後、印象が変わりました。
施術の内容:ダイオードレーザーによる熱によってほくろを変性・壊死させる。
リスク:浮腫、発赤、くぼみ等
料金:10,000円×税
![]() |
![]() |
|
| [+拡大] | ||
■東京都港区の35歳、女性
顏のホクロでも鼻にある場合には皆さんかなりナーバスになっている傾向があります。
やはり顔の中心なので失敗したくないという気持ちが強くでるのでしょう。
この方は小鼻より中心にあり膨らんでいるのでかなり目立ちます。
平らにするだけでも印象が変わるのでダイオードレーザーによる施術を躊躇なく行いました。
少しヘコミがありますが除去前とくらべたら全く印象が違います。
施術の内容:ダイオードレーザーによる熱によってほくろを変性・壊死させる。
リスク:浮腫、発赤、くぼみ等
料金:40,000円×税
![]() |
![]() |
|
| [+拡大] | ||
■柏市の39歳の女性
アゴに類円形の茶色のホクロが見られます。
中心部は黒色になっています。
茶色や黒色など色の違いはメラニンの量と深さに由来し、一般的に
茶→黒→青の順に深くなっているのです。
ダイオードレーザーの適応と考え照射、良い反応が得られました。
施術の内容:ダイオードレーザーによる熱によってほくろを変性・壊死させる。
リスク:浮腫、発赤、くぼみ等
料金:30,000円×税
![]() |
![]() |
|
| [+拡大] | ||
■港区在住、68歳の女性。
小鼻に丸い半透明のほくろと、もう1つ小鼻から中央寄りに、中心が
黒褐色で全体が青白色の丸いホクロがあります。
色が抜けたほくろはよく見かけますが、この様なほくろ除去にも
ダイオードレーザーが良い適応となります。
ホクロは時間が経過すると色が抜けてくることがしばしばあります。
この方も約30年の歴史があり黒色から徐々に色が薄くなっていったようです。
ホクロかどうかは皮膚科専門医のスペシャルテクニックであるダーモスコピーで
確実に診断しました。
施術の内容:ダイオードレーザーによる熱によってほくろを変性・壊死させる。
リスク:浮腫、発赤、くぼみ等
料金:2個で50,000円×税
![]() |
![]() |
|
| [+拡大] | ||
■江東区の35歳女性
左唇の上部にある扁平に隆起した茶褐色のホクロ。
徐々に拡大してきたとの事。唇の上部と小鼻周りは傷跡に
なりやすい部位なので慎重に対処しなければなリません。
テクニックが必要です。
これもダイオードレーザーにてOKでした。
施術の内容:ダイオードレーザーによる熱によってほくろを変性・壊死させる。
リスク:浮腫、発赤、くぼみ等
料金:20,000円×税
![]() |
| [+拡大] |
■春日部市の29歳の女性。
境界明瞭な紡錘形、茶褐色の隆起するホクロが左口角付近に見られます。
かなり隆起していたのでヘコミが出る可能性が充分ありました。
よく見ると若干の白色瘢痕がありますが、ヘコミがなくキレイな仕上がりになりました。
皮膚の創傷治癒力もすごいものがありますね。
施術の内容:ダイオードレーザーによる熱によってほくろを変性・壊死させる。
リスク:浮腫、発赤、くぼみ等
料金:30,000円×税
![]() |
| [+拡大] |
■江東区の32歳の女性
鼻下の人中にある茶色のほくろと白い傷跡の右上方にある赤褐色のホクロ。
この方は見ての通り傷跡が白くなっています。
レーザーによるほくろ除去後このように白色瘢痕になるケースが
時々認められ心配でしたが、1年半後の時点でも白色化はなく
naturalな仕上がりになっています。
レーザーによるほくろ除去は熱損傷であるので、白色瘢痕が起きる可能性はあります。
施術の内容:ダイオードレーザーによる熱によってほくろを変性・壊死させる。
リスク:浮腫、発赤、くぼみ等
料金:鼻下 20,000円×税
![]() |
| [+拡大] |
■世田谷区の28歳の女性。
鼻の中心部にあるホクロの経過です
中心部は茶褐色で その周囲がうすい茶色に拡がっていて まるでヒマワリのような形態をなしています。いつものようにダーモスコピーで良性である事を確認。さすがにこの大きさになると1回ではとり切れません。
右は2回施術後(6カ月後)の状態ですが 辺縁にメラニンが残存しています。
今回そのメラニンを除去するためダイオードレーザーを施行、更に良くなるものと思われます。
大きく隆起のあるホクロは経過が長くなる事があります。
施術の内容:ダイオードレーザーによる熱によってほくろを変性・壊死させる。
リスク:浮腫、発赤、くぼみ等
料金:40,000円
![]() |
![]() |
|
| [+拡大] | ||
■18歳、目黒区在住の女性。
上、下口唇に多数のシミの様なホクロが多発しています。
まず大きいものを除去して反応が良かったら他もとるという事にしました。
白色瘢痕化が心配でしたが 見事にとれました。
レーザーの反応はその方の肌質により異なるので、慎重に対応しなければなりません。
施術の内容:ダイオードレーザーによる熱によってほくろを変性・壊死させる。
リスク:浮腫、発赤、くぼみ等
料金:30,000円×税
![]() |
![]() |
|
| [+拡大] | ||
■37歳、品川区の女性。
鼻下にある 茶褐色の丸いホクロ。ダイオードレーザー1回照射
2ヶ月経過した状態です。かなり平坦になり色みも大分薄くなっています。
更にしっかりとホクロ除去可能でしたが 本人の希望によりこれで終了としました。
施術の内容:ダイオードレーザーによる熱によってほくろを変性・壊死させる。
リスク:浮腫、発赤、くぼみ等
料金:20,000円×税
![]() |
![]() |
|
| [+拡大] | ||
■32歳、板橋区の女性。
小鼻に類円形、灰白色の黒子(ほくろ)が2個、兄弟のように存在しています。
小鼻は鼻下と並んで跡になりやすい部位で慎重に出力を調整しなければなりません。
強すぎても、弱すぎてもダメです。もちろんレーザー照射の結果はその方の肌質にも左右されるので一筋縄ではいきません。
なお医学用語でホクロを黒子と書き「こくし」と読みます。
施術の内容:ダイオードレーザーによる熱によってほくろを変性・壊死させる。
リスク:浮腫、発赤、くぼみ等
料金:1個20,000円×税
![]() |
![]() |
|
| [+拡大] | ||
■文京区の37歳の女性。
人中部にある境界明瞭、隆起のある黒褐色のほくろです。
この様な色調を見た場合、基底細胞上皮腫という皮膚がんとの鑑別診断が重要になります。
皮膚科医の常識であるデルマトスコープで通常のホクロである母斑細胞母斑と確認。ダイオードレーザー照射。
施術の内容:ダイオードレーザーによる熱によってほくろを変性・壊死させる。
リスク:浮腫、発赤、くぼみ等
料金:20,000円×税
![]() |
![]() |
|
| [+拡大] | ||
■中央区の17歳の女性。
レーザー治療すべきか悩んだケースです。
この方は写真でわかるように、たくさんホクロが認められ、その中でも左小鼻内側に大きくドーム状に隆起するほくろが際立っています。
多かれ少なかれ跡になることを言っておきました。
ダイオードレーザーを照射6か月後の状態で、若干メラニンの残存はありますが概ね良好な状態。残りのメラニンに再度ダイオードをトライしました。
施術の内容:ダイオードレーザーによる熱によってほくろを変性・壊死させる。
リスク:浮腫、発赤、くぼみ等
料金:40,000円×税
![]() |
![]() |
|
| [+拡大] | ||
■練馬区在住の39歳、女性。
額からまゆ毛付近、そして耳元にかけて、流れるようにホクロが並んでいます。
内眼角から鼻にかけて2個ほくろが認められるようにたくさんホクロがある方です。
ダイオードレーザー照射半年後の状態ですが、治療前後を比較して印象が全く違っています。
レーザーによるほくろ除去は熱エネルギーによる熱損傷なので、どんなレーザーを使用しても、どんな医師が施術しても「くぼみ」が出現する可能性はあります。
施術の内容:ダイオードレーザーによる熱によってほくろを変性・壊死させる。
リスク:浮腫、発赤、くぼみ等
料金:1個10,000円×税
![]() |
![]() |
|
| [+拡大] | ||
■太田区在住の39歳の女性。
左アゴ下のホクロ。一粒のブドウが少し水分なくなってきたような外観を呈しています。これもほくろの一種です。
一言で「ほくろ」と言いますがほくろの細胞(母斑細胞という)の増殖の仕方や存在する位置の違いにより外見の多様性が生じるのです。
これはウンナ母斑です。
施術の内容:ダイオードレーザーによる熱によってほくろを変性・壊死させる。
リスク:浮腫、発赤、くぼみ等
料金:30,000円×税
![]() |
![]() |
|
| [+拡大] | ||
■渋谷区在住、29歳、女性。
左口角上部の色が抜けたホクロが見られます。
この様なケースにもダイオードレーザーが適応です。
熱を均等に照射していき、ほくろが均一に白色化させるのがコツです。
1年後の状態です。
部位的に赤みやへこみそして膨らみが出る場合があります。
その方の肌質により反応が異なってきます。
施術の内容:ダイオードレーザーによる熱によってほくろを変性・壊死させる。
リスク:浮腫、発赤、くぼみ等
料金:20,000円×税
![]() |
![]() |
|
| [+拡大] | ||
■千代田区の52歳の男性。
鼻下のヒゲのはえている部分のほくろで隆起しています。
男性の方でよくあるケースです。
隆起している場合、下の方にも同じ位ほくろの組織が入りこんでいるので、完全にとるとへこみが生じます。
しかし皮膚には創傷治癒力があるためフラットになる場合が多いのです。
肌質にもよります。又、それだけ熱をたくさん入れなければならないので、毛根にダメージを与えヒゲがその部分だけはえなくなる可能性があります。
ほくろ除去も色々気を使います。
施術の内容:ダイオードレーザーによる熱によってほくろを変性・壊死させる。
リスク:浮腫、発赤、くぼみ等
料金:30,000円×税
![]() |
![]() |
|
| [+拡大] | ||
■北区在住の27歳、男性。
上、下のクチビルにホクロが多数見られます。
今回は上クチビルの1個をトライして、結果が良ければ後日、他もトライすることにしました。
初めてのほくろ除去は不安なものです。まず1個からという選択肢も良いでしょう。
満足のいく結果が得られたと思います。
施術の内容:ダイオードレーザーによる熱によってほくろを変性・壊死させる。
リスク:浮腫、発赤、くぼみ等
料金:20,000円×税
![]() |
![]() |
|
| [+拡大] | ||
■中野区在住の31歳の女性。
うなじのほくろです。
ダイオードレーザーは顔専用というわけではなく、全身どこでも除去可能です。
このケースは除去後、若干白抜きが認められますがナチュラルな経過をたどっています。
施術の内容:ダイオードレーザーによる熱によってほくろを変性・壊死させる。
リスク:浮腫、発赤、くぼみ等
料金:30,000円
![]() |
![]() |
|
| [+拡大] | ||
■中野区在住の29歳の女性。
くちびるの上と左鼻わきに各1個ホクロがあります。
鼻脇のホクロは中心部を囲むようにメラニン色素の塊が見られ、くちびるの上のほくろのように均一な病変になっていません。
ホクロは実に多様性のある臨床像をとります。
1か月後の状態です。鼻脇にメラニンの小さい点が残っていますが、これも今日ダイオードレーザー照射しました。
問題なく消えます。
赤みも時間の問題でひいてきます。
施術の内容:ダイオードレーザーによる熱によってほくろを変性・壊死させる。
リスク:浮腫、発赤、くぼみ等
料金:鼻下1個10,000円×税
![]() |
![]() |
|
| [+拡大] | ||
■杉並区在住の29歳、女性。
耳に3個かなり印象的なホクロが認められます。
よくある質問にこういう部位でも除去できますか?
というのがありますが、大丈夫です。
若干白く抜けていますが、レーザーによるほくろ除去は熱損傷であるので、これはしょうがありません。
施術の内容:ダイオードレーザーによる熱によってほくろを変性・壊死させる。
リスク:浮腫、発赤、くぼみ等
料金:3個で50,000円×税
![]() |
![]() |
|
| [+拡大] | ||
■品川区在住の31歳、女性。
まゆ毛の上にある、まだらに茶色っぽいホクロです。
このような部位でも除去できます。
黒系のものに比べ茶系は熱を多めに入れなければならないので気を使います。多少跡になっていますが良い仕上がりになったと思います。
施術の内容:ダイオードレーザーによる熱によってほくろを変性・壊死させる。
リスク:浮腫、発赤、くぼみ等
料金:30,000円×税
![]() |
![]() |
|
| [+拡大] | ||
唇(くちびる)のほくろ除去にダイオードレーザー 越谷市の22歳、女性。10年前より唇(くちびる)にホクロが出現。段々大きく拡がってきて、いつも気になるようになったようです。
施術の内容:ダイオードレーザーによる熱によってほくろを変性・壊死させる。
リスク:浮腫、発赤、くぼみ等
料金:30,000円×税
![]() |
![]() |
|
| [+拡大] | ||
人から鼻クソがついているとか、ヨゴレがとれていない等よく言われてかなり悩んでいました。
ほくろは赤茶色で、通常の黒いものとは色調が異なります。ダーモスコピーにて悪性かどうかを調べた後、ダイオードレーザーを照射。
2週間後、とれていました。
施術の内容:ダイオードレーザーによる熱によってほくろを変性・壊死させる。
リスク:浮腫、発赤、くぼみ等
料金:30,000円×税
![]() |
![]() |
||
| [+拡大] | |||
下口唇の大きなホクロ。これだけのサイズになると気にするなと言うほうが無理があります。
ダイオードレーザーで除去しました。
⑲レーザーによるほくろ除去は保険適応か?
⚠️これらは保険適応にはなりません。
①日常生活への支障
- 眼瞼にあるので、視界に入り邪魔になる。
- 洗髪時や、洋服の着脱のときに引っかかる。
- ひげ剃り時に引っかかり、出血する場合がある。
②精神的ストレス
- ほくろに存在が精神的ストレスになっているとドクターが判断した場合
🍏悪性腫瘍の疑い
当たり前ですが、悪性の疑いがあればレーザー施術は禁忌です。
保険適応の手術しか選択肢はありません。
時々「ここではレーザーによるほくろ除去は保険でやっていますか?」と質問される方がいます。
全て保険適応にして不正請求しているドクターが多数いるのです。
☘️レーザーによるほくろ除去はどんな部位でも保険適応外です。☘️
⑳クリニック選びのポイント
「傷が残らない」「跡が残らない」「何もなかった状態になる」等、
美辞麗句を並べているクリニックがあります。
また治療前後の写真の数が少ないクリニックも多数あります。
現実的に魔法をかける訳ではないので、全く跡にならない施術はありません。
他院では 「仕上がりを美しくするため 複数のレーザーを使用」
「大きさや場所によって取り方を変える」「症状やほくろのサイズなどにあわせる」
「ほくろの種類によって治療法を替えています。」等
その方に寄り添って?施術を提案しているようです。
しかしこれはほぼ全員が使用している炭酸ガスレーザーに短所があるためです。
当院ではほくろのレーザー治療はほぼ全てダイオード・アレックスレーザーで対応、
オールインワンで問題ないのです。
施術は全て私が行なっています。
結局の所、治療前後の写真が多いクリニックが信頼できると思います。
⑴料金
レーザー(自費)
| 1mmあたり | ¥6,000~ 色調、深さ、部位、隆起の度合いにより料金が変わります。 |
|---|---|
| 口唇 | ¥10,000~ |
手術当日にかかる費用(保険)
🌸露出部の手術
露出部とは、顔面と頭部、頚部、肘から先の腕と手、膝を指します。
| 大きさ | 費用(病理検査料、処方箋料含む) |
|---|---|
| 2cm未満 | 約8,500円 |
| 2cm以上、4cm未満 | 約15,000円 |
🌸非露出部の手術
| 大きさ | 費用(病理検査料、処方箋料含む) |
|---|---|
| 3cm未満 | 約7,000円 |
| 3cm以上、6cm未満 | 約13,000円 |
| 6cm以上 | 約16,000円 |
※調剤薬局で支払う薬剤料は別途必要。
1回で取り切れない場合には、ほくろが取り切れるまで責任を持ちます。
その場合でもレーザー料金は初回のみで追加負担はありません。(1年以内)
※クレジットカードは5万円以上でご使用できます。
⑵よくある質問
- 診察即施術は可能ですか?
- 予約は必要でしょうか?
- 保険はきくのでしょうか?
- 顔以外の首や体のホクロはとれますか?
- なぜダイオードレーザーを使用しているのですか?
- 施術時の痛みは?
- 施術後ホクロはどのようにとれていくのですか?
- 1回で除去できますか?
- 1回で除去できない場合、2回目のインターバルは?
- 施術当日は洗顔や入浴は可能ですか?
- へこむ場合がありますか?
- 施術翌日以降の注意点は?
- 一度に何個まで施術できますか?
- 診察即施術は可能ですか?
- 可能です。
- 予約は必要でしょうか?
- 予約はできません。
- 保険はきくのでしょうか?
-
日本ではレーザーによるほくろ除去は保険適応外です。切除だけが保険適応なのです。
レーザー施術をしても保険適応に振り替え、患者負担を安くして繁盛しているクリニックがあるのでご注意ください。 - 顔以外の首や体のホクロはとれますか?
- 顔以外のホクロも問題なく除去できます。
- なぜダイオードレーザーを使用しているのですか?
-
①麻酔をする必要がない(痛がりの方や唇,眼周囲には麻酔が必要)
②レーザー照射時間が秒単位で速いのです。
③瞬時にほくろが縮小かつ平坦化。
④カバーの必要のないノーダウンタイム治療。
施術直後は
a)瞬時に縮小しカサブタになる。
b)瞬時に縮小し灰白色化する。
c)茶色から黒いカサブタになる。
d)色のないホクロは灰白色化する。
という4つのパターンがあります。
カサブタはそのままカバーの役割を果たすのでそのままで問題はありません。
灰白色化は皮膚の組織が死んだ状態(お線香を燃やした時、燃えた部分は灰白色化するのと同じです)なので、それをカバーすると問題が生じます。
なぜなら腐ったり、死んだ組織を密封カバーすると細菌の絶好の繁殖場となるのです。
以前からオープントリートメントといって、キズをなにもカバーしないで自然治癒力で治す方法は確立されています。
死んだ組織は生体から脱落していきます。
この方法と同じで、カバーせずにこれまで問題はまず起きていません。
照射面積が小さいことが良い結果を導いているのかもしれません。
以上からカバーをする必要はないのです。
炭酸ガスレーザーの場合はターゲットが水分で、ダイオードはメラニンがターゲットなので反応が全く違うのです。
麻酔をしてから表面から真皮に向かって点状に徐々に凝固壊死させて、死んだ組織をその都度、綿棒で除去する。(瞬間的に縮小することはありません!)
つまり黒くなって死んだ組織を徐々に取り除いて、すべて壊死組織を除去してからカバーをするので問題がないのです。
⑤点照射と面照射の違い。
一瞬で縮小、カサブタ化できるのがダイオードレーザーの特徴です。
1点照射ではなく全体を均一に面照射でき、かつメラニンがターゲットなのが効果的なのです。
- 施術時の痛みは?
-
もちろん痛みはあります。
熱痛い、熱で焼ける感じ、チクチク痛む、パチパチジリジリやける、ピリピリ痛む等ありますが、痛くて逃げ出した方はいません。
我慢ができる範囲内なのです。 - 施術後ホクロはどのようにとれていくのですか?
- 約1週間でボロッととれるor1週間後薄くむけ、2週間後薄皮がなくなってとれたor大きいホクロは1か月かかってカサブタがはがれていくor灰色になった場合は2,3週間で自然脱落等ほくろの性状によって個人差があります。
- 1回で除去できますか?
-
除去できる場合とできない場合があります。
これはほくろの大きさやその方の肌質に左右されます。
当院では1年以内は再診料のみで、レーザー料金の追加請求はありません。
1年以内に除去できないホクロは通常ありません。 - 1回で除去できない場合、2回目のインターバルは?
- ほくろの位置、性状、大きさ、隆起の有無等によって異なりますが、1~2カ月後になります。
- 施術当日は洗顔や入浴は可能ですか?
- ほくろがある場所を直接触らなければ、全く問題ありません。
- へこむ場合がありますか?
-
熱で焼く行為なので、どんなに注意してもへこむ可能性があります。
これはどんなレーザーでも、どんな医師でも起こり得るのです。 - 施術翌日以降の注意点は?
-
メラニンが多い、つまり真っ黒なほくろでは、時に小さな水疱が生じるケースがあります。
これはダイオードレーザーがメラニンをターゲットにしているため、メラニンが多いほくろで起こり得ます。
その場合ホクロの大きさより赤みが大きくなることがあります。
数日で自然に乾燥します。
因みに炭酸ガスレーザーではホクロより大きく除去するのが基本です。 - 一度に何個まで施術できますか?
- 20個でも30個でも可能です。









































































































