大山皮膚科

ほくろ除去の治療は足立区五反野駅から徒歩1分の大山皮膚科

診療時間:月 9:30~13:00(※12:30) 15:00~19:00
火・金 9:30~12:30 15:00~19:00
15:00~19:00
9:30~12:30 15:00~16:30
休診日 水曜日・日曜日・祝日

※月曜日の受付は12:30までです。

大山皮膚科TOP > お悩み別外来 > ホクロ除去

お悩み別外来

ホクロ除去・レーザー治療

ほくろに似た悪性腫瘍

臨床像は皮膚病変の事を意味し、そこから臨床医は良性か悪性かを考える。
次にダーモスコピーで確認する。それで診断が確定できない場合には病変を切除して病理組織学的所見を得て確定診断に至る。
ここで病理組織学的所見からダーモスコピー所見と臨床像を比較、対比してフィードバックさせる。
つまり3つの所見は三位一体の関係なのである。

  • ① 顔面の悪性黒色腫


    図1 臨床像 [+拡大]

    臨床像
    イボ状の黒色結節があり、その左側に沿って黒色の色素班が拡大している。いわゆる“しみ出し”現象もあり臨床的にも悪性黒色腫を考える。


    • 図2 ダーモスコピー [+拡大]

      ダーモスコピー所見
      節以外の色素班では、色の濃い部分、薄い部分の配置が不均等である。更にnetworkの輪郭や色、形、閉じ具合が部位によって異なっている。中央部の「うすもや」は、blue-white structuresと言って真皮内に浸潤した、進行した段階の悪性黒色腫で認められている所見である。


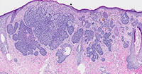
    • 図3 病理組織学的所見 [+拡大]

      病理組織学的所見
      表皮基底層を中心としてメラニンを含有する異形細胞が胞巣or個別に水平増殖し、表存の構造を乱している、真支上層には大量のメラニンを伴う細胞が増殖している。

  • ② 鼻基部の基底細胞癌(No.1)


    図1 臨床像 [+拡大]

    臨床像
    境界ほぼ明瞭、中央に陥凹のある黒褐色の結節、ロウ様の光沢(+)。結節潰瘍型の基底細胞がんを臨床的に疑う。


    • 図2 ダーモスコピー所見 [+拡大]

      ダーモスコピー所見
      青白色の薄いモヤの中に存在感のある太い血管が枝分かれしている。
      BCCに特徴的な樹枝状血管である。
      非常に細かいものから大きなものまでメラニンの集合体を現わすblue-gray dots、nestsが多数認められる。


    • 図3 病理組織学的所見 [+拡大]

      病理組織学的所見
      中小の胞巣が真皮全体に幅広く増殖している、構成細胞は基底細胞類似で、辺縁にはだ円型の核を持つ腫瘍細胞が柵状に配列している。これは休止期毛包でみられる毛芽細胞に類似した形態であり、毛芽細胞分化の所見である。
      腫瘍細胞巣と間質の間にはムチンの沈着が見られる。infundibulo-cystic型である。

  • ③ 鼻基部の基底細胞癌(No.2)


    図1 臨床像 [+拡大]

    臨床像
    鼻基部にある光沢性結節。はっきりした黒褐色の小結節が5ヶ存在し、陥凹部を取り囲んでいる。辺縁にも更に小さい茶色の丘疹が数個認められ、ベースの色調も淡赤色から茶褐色と変化に富んでいる。


    • 図2 ダーモスコピー所見 [+拡大]

      ダーモスコピー所見
      中央に潰瘍があり、その周囲にうすもやがかかっている。その外部にはblue-gray ovaid nestsと呼ばれるメラニンのカタマリが視認できる。辺縁から毛細血管の拡張が多数確認でき、これらの構築パターンから基底細胞癌と診断可能である。


    • 図3 病理組織学的所見 [+拡大]

      病理組織学的所見
      中央に潰瘍があり、表皮下から真皮中層にかけて、かなり大きな結節病変が占拠している。
      このように立体的に大型化した胞巣がダーモスコピーのovaid nestsの本態である。組織型は結節型である。

  • ④ 鼻下の基底細胞癌 -これでも悪性なのです-


    図1 臨床像 [+拡大]

    臨床像
    左鼻腔下の赤みがかかった小結節。
    辺縁の3ヵ所に黒褐色の小結節があり、毛細血管の拡張も確認された、一見たいした皮フ病ではないような所見ではあるが、注意せねばならない臨床像である。


    • 図2 ダーモスコピー所見 [+拡大]

      ダーモスコピー所見
      blue-gray globluesと呼ばれる小型、灰青色の構造物が辺縁に存在する、中央から周辺にかけて毛細血管の拡張が細いながらも見られた。


    • 図3 病理組織学的所見 [+拡大]

      病理組織学的所見
      basoloid cellsからなる大小の胞巣が真皮内に増殖している。ムチンの沈着も上層に認められる。☆
      各胞巣の外層にはpallisading patternが見られ、典型的な基底細胞癌の所見である。

  • ⑤ 腹部の基底細胞癌


    図1 臨床像 [+拡大]

    臨床像
    80代の男性、腹部に生じた境界ほぼ明瞭、扁平隆起性の黒色結節。中央は陥凹し、外側は軽度ながら切れ込みがあり分葉状、表面はロウを塗ったような光沢が認められる。


    • 図2 ダーモスコピー所見 [+拡大]

      ダーモスコピー所見
      全体的に青白い、うすもやがかかり、大きな黒褐色の結節が多数明瞭に見られる。その結節は青白い隔壁で境されている。樹枝状血管は認められない。


    • 図3 病理組織学的所見 [+拡大]

      病理組織学的所見
      メラニンを持った大小の胞巣が集族して視認できる、腫瘍細胞巣の一部は表皮と連続している。ダーモスコピーで見られた結節は基底細胞上皮腫の胞巣と一致している。
      右側に大きな血管があり、樹枝状血管に相当する所見と言える。また、うすもやは真皮上〜中層にかけての結合組織の線維化の現れである。

  • ⑥ へそに生じた悪性黒色腫


    図1 臨床像 [+拡大]

    臨床像
    60代男性。臍部に経29×16mmの落屑を伴う境界明瞭な不整形黒色斑。黒色斑はへその内部に連続している。


    • 図2 ダーモスコピー所見 [+拡大]

      ダーモスコピー所見
      全体的に不規則青白色色素沈着(青白色ベール)があり、病変の辺縁部に非定型色素ネットワーク、黒色の不規則色素小点・色素小球が見られる。


    • 図3 病理組織学的所見 [+拡大]

      病理組織学的所見
      へそに一致する陥凹があり、表皮と一部で連続して、真皮内にメラニンを含む腫瘍胞巣を認める。腫瘍細胞は、大小の島状、柵状の胞巣を形成している。腫瘍細胞は、免疫染色で、S-100蛋白、HMB-45およびMelan-Aで陽性であった。

< 治療 >
腫瘍辺縁から1cm離して、臍部は 瘢痕組織痕上、その周囲は腹直筋上で、腫瘍を切除し、単純に縫縮した。拡大切除は行わなかった、再発、転移は認められていない。

< 考え >
臍は、胎児期の尿膜管、卵黄腸管とその血管、臍動静脈からなる臍帯が出生後に離断されて瘢痕化したものであり、皮下脂肪は存在せず、瘢痕組織は腹膜まで連続している。リンパ経路については、両鼠径、両腋窩リンパ節、さらに外腸骨リンパ節に注ぐ流れがある。また、前腹壁は血管が非常に豊富な部位であるゆえに、臍部は門脈系と体循環系の吻合部位になっている。
Barrowによれば、臍部(へそ)の腫瘍の大半は良性腫瘍である。しかし677個中56個、8.4%は悪性であると報告している。その中で臍部の悪性黒色腫は比較的まれである。臍部(へそ)に生じた悪性黒色腫は解剖学的理由から周囲への浸潤や遠隔転移を起こしやすい部位であるので、今後とも充分なフォローアップが必要である。

井上喬之他:皮膚病診療 34:297,2012
Barrow,M.M:J Chronic Dis 19:1113,1966

  • ⑦ 目の縁に発生した基底細胞癌


    図1

    臨床像
    境界不明瞭な大きな色素系腫瘍で、一見して部位により色調の変化が認められます。はっきりした黒~茶色を呈する部位と、モヤがかかったような茶褐色の部位が見られます。痛み等の自覚症状なく10年前から徐々に増大してきたようです。


    • 図2 ダーモスコピー所見 [+拡大]

      ダーモスコピー所見
      メラニンのかたまりを示すmultiple ovoid nestsが左右に、辺縁には葉状のleaf like areaやmelanin dotsが存在する。
      膠原繊維の増生を示す白いモヤの中を、典型的な血管arborizing vesselsが多数、中央や辺縁に走行している。

NEW

唇(くちびる)のほくろ除去

このページの先頭へ